Кубанские Новости

Врачи на Кубани впервые заменили сердечный клапан по новой методике

Врачи на Кубани впервые заменили сердечный клапан по новой методике
Фото: t.me/minzdrav_kubani

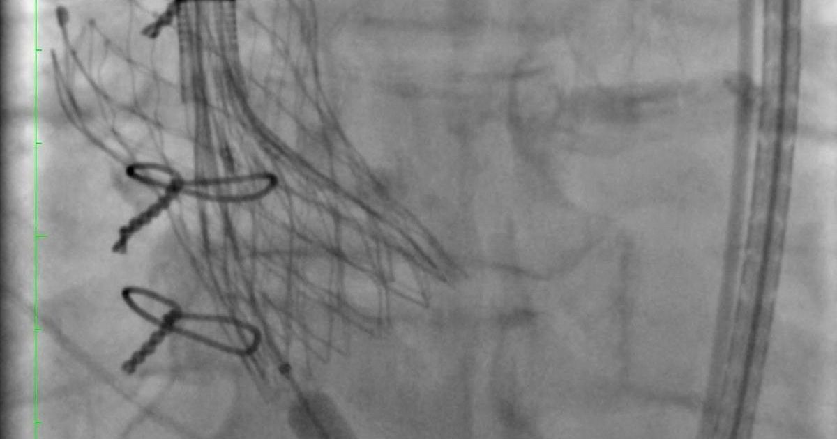
Пациенту в протез износившегося клапана установили новый - по принципу матрешки

Врачи НИИ-Краевой клинической больницы №1 (НИИ-ККБ №1) много лет проводят операции по транскатетерной имплантации аортального клапана. Их делают через прокол в ноге, без наркоза. Но у протеза ограниченный срок службы – 10 лет. Потом он обрастает кальцием, и пациенту вновь нужна операция.

– Когда старый клапан уже износился, в этот же протез клапана ставится новый – методика «клапан-в-клапан» или по-простому говоря – по типу «матрешки». Недавно мы провели первую подобную операцию 70-летнему мужчине, вставив в старый изношенный протез аортального клапана новый клапан, – рассказал завотделением рентгенхирургических методов диагностики и лечения НИИ-ККБ №1 Алексей Федорченко.

Операция проводится малоинвазивным методом, что сокращает время реабилитации пациента и позволяет ему уже спустя пару дней вернуться к привычному распорядку жизни. Так, пенсионер скоро займется любимым хобби – рыбалкой.

Как сообщил 6 июля в своем телеграм-канале глава регионального минздрава Евгений Филиппов, проведение данных операций возможно благодаря поддержке главного врача НИИ-ККБ №1 Владимира Порханова, а также совместной работе министерства здравоохранения Кубани и администрации Краснодарского края.

Сейчас читают

Мы используем cookies для улучшения работы нашего сайта и большего удобства его использования. Продолжая использовать сайт, Вы выражаете своё согласие на обработку файлов cookies